How Much is Hip Surgery on a Dog: Essential Cost Guide 2026
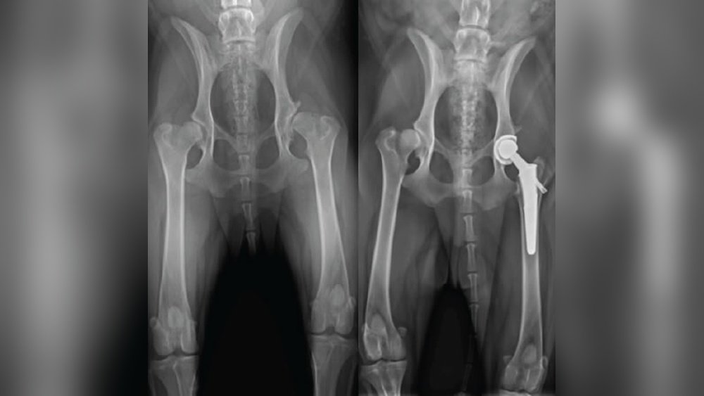
If your dog is struggling to move or seems in pain, you might be wondering how much hip surgery will […]
How Much is Hip Surgery on a Dog: Essential Cost Guide 2026 Read Post »
If your dog is struggling to move or seems in pain, you might be wondering how much hip surgery will […]
How Much is Hip Surgery on a Dog: Essential Cost Guide 2026 Read Post »
Have you ever stopped to wonder just how many hairs cover your dog’s body? It’s a surprising question, right? But
How Many Hairs on a Dog: Surprising Facts You Need to Know Read Post »
Are you tired of leaving your furry friend at home every time you need to run errands? Imagine strolling through
What Stores are Dog Friendly: Top Spots for Pups and Owners Read Post »
Have you ever come across the term “Polish Dog” and wondered what it really means? If you’re curious about this
What is Polish Dog: Discover Its Unique Taste and History Read Post »
Accidents happen, especially when you have a furry friend at home. If you’ve found dog pee on your couch, you
How to Clean Dog Pee from Couch: Easy, Effective Steps Read Post »
Have you ever wondered how you can make a real difference in someone’s life with the help of a dog?
How Do I Become a Service Dog Trainer: Ultimate Step-by-Step Guide Read Post »
Do you love dogs and want to sound more natural when talking about them in Italian? Knowing how to say
How to Say Dog in Italian: Easy Tips to Speak Like a Local Read Post »
Is your favorite blanket smelling more like your dog than fresh laundry? You’re not alone. Pets bring comfort and joy,
How Do You Get Dog Smell Out of Blankets: Easy Freshening Tips Read Post »
Wondering how much chicken and rice you should feed your dog based on their weight in kilograms? You’re not alone.
How Much Chicken And Rice for Dog by Weight Kg: Exact Feeding Guide Read Post »
Is your dog constantly barking at other dogs, making walks stressful for both of you? You’re not alone, and the
How Can I Stop My Dog Barking at Other Dogs: Effective Tips Read Post »
Have you ever stopped to think about how much salt is in a hot dog? If you’re someone who enjoys
How Much Salt is in a Hot Dog: Shocking Truth Revealed! Read Post »
If your dog is about to have puppies or is already in labor, you might be wondering, “How much is
How Much is a Dog C Section: Essential Cost Guide for Pet Owners Read Post »